ГОЛОВНА
НОВИНИ
ВІДЕО
ПРО НАС
ПОЛІТИКА
ПІДТРИМАТИ
КОНТАКТИ
Футуро
воно вже поруч!
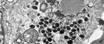
Новини за тегом «віспа»
Всесвітня організація охорони здоров'я оголосила нову глобальну надзвичайну ситуацію
Швидке поширення віспи мавп в африканських країнах є глобальною надзвичайною ситуацією в галузі охорони здоров’я.
15 Серпня 2024 р.
Нью-Йорк оголошує надзвичайний стан через зростання кількості заражень мавпячою віспою
Всесвітня організація охорони здоров’я позаминулого тижня офіційно оголосила глобальну надзвичайну ситуацію через віспу мавп.
01 Серпня 2022 р.
ВООЗ оголосив надзвичайну ситуацію у світі через мавпячу віспу
Вдруге за два роки Всесвітня організація охорони здоров'я зробила екстраординарний крок, оголосивши глобальну надзвичайну ситуацію. Цього разу причиною стала віспа мавп, яка за кілька тижнів поширилася на десятки країн і заразила десятки тисяч людей.
25 Липня 2022 р.
Вчені стурбовані міжнародним спалахом мавпячої віспи
Випадки віспи мавп розслідуються в Європі, США, Канаді та Австралії.
20 Травня 2022 р.
УПМ схвалило новий препарат проти чергової пандемії віспи
Управління продовольства і медикаментів США схвалило препарат tecovirimat (Tpoxx), призначений для лікування віспи, яка вбиває близько 30 відсотків хворих на неї.
18 Липня 2018 р.
раніше
ОСТАННІ КОМЕНТАРІ
ГОЛОВНА
НОВИНИ
ВІДЕО
ПРО НАС
ПОЛІТИКА
ПІДТРИМАТИ
КОНТАКТИ
×