У вашому тілі є невідкритий орган, і він може пояснити, як поширюється рак
Коли-небудь чули про інтерстицій?
Ні? Все в порядку, ви не самотні - вчені теж цього не зробили. До недавнього часу.
І, агов, вгадайте, що у вас є! Інтерстицій - ваш новий орган. Вчені визначили його вперше, тому що вони краще здатні спостерігати живі тканини в мікроскопічному масштабі, згідно з недавнім дослідженням, опублікованим в Scientific Reports,
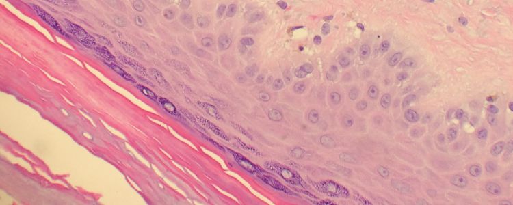
Вчені давно вважали, що сполучна тканина, що оточує наші органи, являє собою товстий компактний шар. Це те, що вони бачили, коли вони дивилися на нього в лабораторії, поза тілом, принаймні. Але в звичайній ендоскопії (дослідження шлунково-кишкового тракту) мікрокамера виявила щось несподіване: коли спостерігалося в живому тілі, сполучна тканина виявилася «відкритим, заповненим рідиною простором, підтримуваним гратами з товстого колагену зв'язки", патологоанатоміст і автор дослідження Ніл Тейз розповів Дослідницьким воротам. Ця мережа каналів присутній по всьому тілу і працює як м'яка еластична подушка, що захищає органи від зовнішніх ударів по мірі руху тіла.
Theise підозрює, що процедура відбору проб, використовувана для виготовлення слайдів, раніше була єдиною можливістю для науковців детально досліджувати тканину, змінила форму примірників. «Просто укуси тканини з цього простору дозволяють рідини в просторі стікати, а підтримують колагенові пучки валитися, як підлоги руйнується будівлі», - сказав він.
Дослідники могли бачити крихітні тріщини в тканини під мікроскопом, але вони думали, що ці тріщини відбулися, коли тканина була занадто сильно натягнута, коли вона була завантажена на слайди. «Але це були не артефакти, - сказав Тейз. «Це були залишки зруйнованих просторів. Вони були там весь час. Але це було тільки тоді, коли ми могли дивитися на живу тканину, щоб ми могли це бачити».
Але інтерстицій - це не просто «простір між клітинами». Тейз і його співробітники вважають, що його слід рекласифікувати як належний орган через його унікальних властивостей і структури, які, за словами Теіз, «дуже специфічні і залежать від унікальні структури і типи клітин, які його утворюють».
Вони були там весь час. Але тільки тоді, коли ми могли дивитися на живу тканину, ми могли це бачити.
Краще розуміння того, як працюють наші тіла, ніколи не буває поганим. Але вчені вважають, що ці корисні властивості можуть також працювати проти нас, дозволяючи раковим клітинам поширюватися по всьому тілу.
Команда Тейса виявила, що у пацієнтів з деякими видами злоякісних пухлин клітини можуть залишати тканини, де вони виникли, і текти в ці канали, в кінцевому підсумку забруднюючи лімфатичну систему. «Як тільки вони увійдуть, це схоже на те, що вони на водній гірці», - сказав патологоанатом New Scientist. «У нас є нове вікно про механізм поширення пухлини».
З подальшим аналізом рідини, що проходить через інтерстицій, дослідники сподіваються, що вони зможуть виявити рак набагато раніше, ніж сьогодні.
